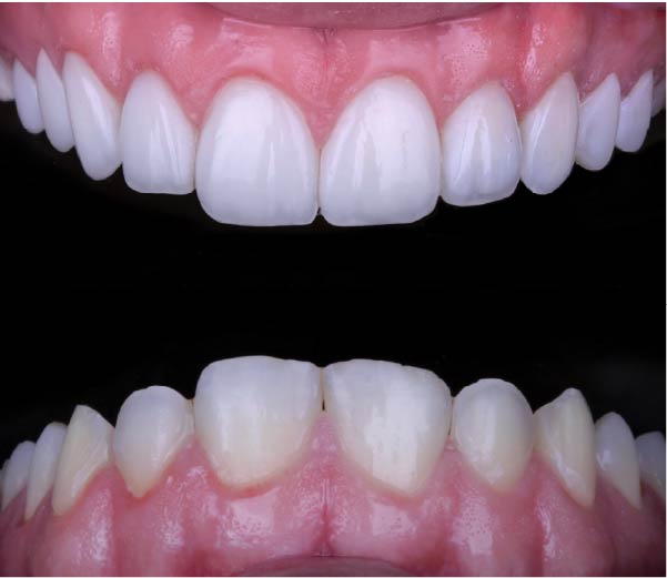
O tratamento com facetas em resina é uma opção rápida e versátil para você que busca melhorar a estética do seu sorriso, sejam eles amarelados, manchados, desalinhados, desgastados ou com espaçamento. Em apenas uma sessão é possível transformar seu sorriso, devolvendo sua autoconfiança e autoestima ao sorrir.
Nossa equipe é referência em odontologia estética com foco na naturalidade das facetas de resina.
Zero preocupação, o tratamento é 100% indolor.
Quando comparada a porcelana.
Basta uma sessão para ver a transformação completa do seu sorriso.
Nenhum desgaste na maioria dos casos.

"Realizar esse tratamento mudou minha vida. Eu tinha vergonha de sorrir, mas agora sorrio com confiança e segurança. Renovou minha autoestima. Antes as pessoas me perguntavam porque eu não sorria, agora as pessoas dizem que sou uma pessoa sorridente."
Camila P.
• Fundou e ministra o curso Simplificando & Estratificando de Facetas em Resina
• Palestrante no maior Congresso Nacional de Odontologia
• Somos referência em Facetas em Resinas com foco na naturalidade
• Somos expert na técnica de Facetas em Resina Estratificadas
+ 150 vidas transformadas
+ 1000 facetas realizadas
+ 5 países atendidos
① Quanto custa o tratamento?
O investimento do sorriso dos sonhos pode variar conforme as necessidades de cada paciente. E só podemos fornecer uma estimativa precisa após uma avaliação individual.
Na consulta de avaliação, identificaremos quantas facetas seriam necessárias para transformar o seu sorriso, além de verificar como está a questão de mordida, coloração, alinhamento, se existem fraturas ou trincas nos dentes, retração ou sorriso gengival, entre outros fatores importantes para que possamos fazer o planejamento de forma personalizada.
Cada paciente é único, assim como o seu sorriso. 😊
Mas, aqui na clínica, prezamos por tentar encontrar a solução que caiba no seu bolso.
② No procedimento tem desgaste dos dentes naturais?
Na maioria dos casos não há desgaste, mas é necessário uma consulta criteriosa para identificar a necessidade.
③ Como funciona a avaliação?
A avaliação dura em torno de 30 a 60 minutos onde o Dr irá analisar quantas facetas são necessárias para transformar o seu sorriso. Além disso, o Dr vai verificar como está a questão de alinhamento e mordida, se há retração ou sorriso gengival, coloração e formato dos seus dentes para poder identificar a necessidade de associar outros procedimentos para chegar no resultado desejado.
④ Como funciona o tratamento?
O tratamento é feito sob aplicação de finas camadas de resina composta, com os melhores materiais e técnica mais avançada do mercado, a fim de entregar um novo sorriso com alta qualidade e naturalidade. O paciente pode optar por formatos, coloração e tamanho, que mais se identifique, porém o Dr também vai dar sua indicação do que ele considera mais harmônico de acordo com cada rosto e sorriso.
⑤ Tenho coroas de porcelana. Posso fazer facetas em resina?
Depende do caso. É necessário uma consulta criteriosa para identificar se a coroa está bem adaptada e se faz parte da linha do sorriso do paciente a qual será base para a construção do novo sorriso.
⑥ Não terminei meu tratamento ortodôntico. Posso fazer facetas em resina?
Depende do caso. É necessário uma consulta criteriosa para avaliar como está a mordida e alinhamento do seu sorriso atualmente para que possamos realizar as facetas sem perder qualidade e durabilidade.
⑦ Já tenho facetas em resina, mas não estou satisfeito(a). Como proceder?
Já fizemos diversos casos de retrabalho em que o paciente havia feito com outro profissional. Nesses casos, fazemos o processo de remoção de todo o material de resina, fazendo um replanejamento do caso para entregar um novo sorriso com facetas de alta qualidade e naturalidade.
A Ortoestética Boa Viagem Sul oferece uma variedade de especialidades e procedimentos que visam aprimorar você, promover seu bem-estar e elevar sua autoestima. Nossas especialidades abrangem um amplo leque de tratamentos estéticos personalizados para atender com excelência às necessidades de cada paciente.
Sobre minha experiência na clínica, posso dizer que superou minhas expectativas, confesso que estava um pouco apreensivo pois iria realizar um procedimento de longa duração, mas pelo contrário, já na minha chegada fui super bem recebido, a estrutura fora do padrão me deixou super confortável e bem à vontade. As longas horas que achei que iria passar, rapidamente se foram ao lado dessa equipe que me deu todo suporte para que o procedimento ocorresse muito bem. Agradeço a todos desde a recepção ao setor comercial e principalmente ao Dr., pela maestria ao aplicar as facetas em resina. Estou muito satisfeito com o resultado e minha autoestima renovada, mais uma vez agradeço a todos pela excelência no atendimento.
Gustavo Barros, 23 anos
Eu fiz minhas facetas em resina na Ortoestética e eu amei. Ficou perfeito. O Dr Victor é fantástico. O investimento vale muito pela dedicação que ele tem, a forma minuciosa que ele trabalha, perfeccionista. Ele tem muito amor pelo que faz. Um dos melhores dentistas que já conheci. A equipe toda é fantástica, foi escolhida a dedo!
Marcia Pires, 60 anos
Quando decidi fazer as facetas, eu escolhi essa clínica, pois além de uma estrutura bastante moderna, conta com profissionais altamente capacitados. Eu já havia feito facetas em resina anteriormente e não estava satisfeita com meu sorriso. Estava em busca de uma clínica e profissional que eu pudesse ter a confiança para trocar minhas facetas e poder enfim ficar satisfeita com meu sorriso. Eu buscava um sorriso mais delicado, natural e bonito. E realmente fiquei supreendida com o resultado. Fui muito bem recebida e para quem deseja fazer um tratamento odontológico, eu recomendo a clínica. Sempre investi em minha saúde e na minha aparência e o procedimento realizado me proporcionou muita felicidade, todas as pessoas que me conhecem notaram meu sorriso lindo e natural da forma que sempre desejei! Fiquei com a auto estima super elevada.
Richelly Pereira, 28 anos