O tratamento com implantes e próteses dentárias quando ocorre a perda de dentes ao longo da vida é a melhor opção para quem busca um sorriso bonito, natural e duradouro. E a conquista de sorrir com confiança se torna apenas um entre tantos benefícios.
Podem haver outros procedimentos associados para alcançar o sorriso que você procura. Entre as soluções, estão: repor dente que foi perdido, repor estrutura óssea e/ou gengival, corrigir e melhorar a posição dos seus dentes e cuidar da estética do seu sorriso de acordo com o que você deseja.
Recupere sua confiança e autoestima ao sorrir com um sorriso completo e harmônico.
O procedimento é praticamente indolor, feito com anestesia local, sendo seguro e de rápida recuperação.
Recupere sua segurança e conforto para comer tudo que você deseja com uma mastigação adequada.
Evite dificuldades na fala, problemas gastrointestinais e dores de cabeça por consequência de uma mastigação não adequada.
A ausência de um dente faz com que haja perda óssea naquela região, além de poder levar ao desalinhamento e até perda de outros dentes.
Ao prolongar o início do tratamento, o mesmo vai se tornando cada vez mais complexo de se resolver, tornando-se também mais custoso e mais demorado.

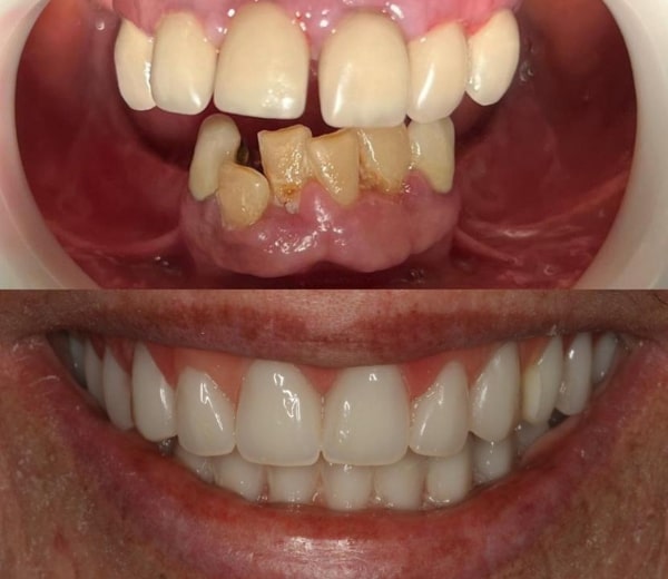
"Fazia tempo que procurava uma clínica e profissionais capacitados que pudessem realizar meu tratamento. Eu sempre tive receio de iniciar por meu caso ser um caso complexo e com várias etapas, então cheguei a ir em várias outras clínicas e não havia ainda sentido confiança em iniciar. Quando vim aqui na clínica, fiquei realmente impressionado com todo atendimento acolhedor e com a confiança que me passaram ao explicar todo meu tratamento com muito embasamento e detalhes. Logo, decidi iniciar meu tratamento com essa equipe que me passou tanta tranquilidade. Fiquei muito satisfeito com o acompanhamento do meu tratamento e com o resultado. Esse tratamento com certeza mudou minha vida e minha autoestima."
Sérgio Lima
• Especialista em Periodontia
• Pós-Graduada em Implantodontia
Dr Gabriel Lisboa
CRO-PE 12301
• Pós-Graduado em Prótese Fixa
• Pós-Graduado em Prótese Sobre Implante
+ 510 vidas transformadas
+ 2300 procedimentos realizadas
① Quanto custa o tratamento?
Os custos podem variar conforme as necessidades de cada paciente, e só podemos fornecer uma estimativa precisa após uma avaliação individual. O investimento no seu sorriso pode variar de acordo com a solução indicada, quantidade de implantes necessários, com a espessura e densidade óssea existente, saúde gengival, tipo de implante e coroa indicados, entre outros fatores. O planejamento precisa ser personalizado e analisado de forma criteriosa para um resultado de excelência.
Mas, aqui na clínica, facilitamos para você.
② Quanto tempo demora o tratamento de implantes?
Leva geralmente entre 2 a 6 meses. Depende da sua saúde bucal e do número de implantes. Uma avaliação personalizada proporciona uma estimativa mais assertiva.
③ O tratamento é para mim?
Cada paciente é único em suas necessidades odontológicas. Para saber se um tratamento é o melhor para você, precisamos de uma prévia avaliação da sua saúde bucal e faremos um planejamento personalizado para o que você precisa. No caso de implante não ser indicado pra você, traremos outras opções possíveis.
④ O tratamento vai doer?
Entendemos suas preocupações, mas fique tranquilo! O procedimento é feito sob anestesia local. Nossos profissionais são altamente capacitados e utilizam técnicas modernas para minimizar qualquer desconforto durante os procedimentos. Seu conforto e segurança são nossa prioridade!
⑤ Como funciona a carga imediata?
A carga imediata é um procedimento onde um dente provisório é colocado no implante no mesmo dia da cirurgia. Pode ser ideal se você quer se recuperar rápido, mas precisamos avaliá-lo para confirmar.
⑥ O implante pode ser rejeitado?
Não! O implante não tem rejeição. O implante é composto de um material totalmente compatível com o nosso corpo, o titânio. Logo, o que acontece é que quando o implante é colocado, o osso cresce ao redor dele e o parafuso de titânio fica totalmente preso. Porém pode acontecer algumas falhas durante a reabilitação que é inerente ao material, como por exemplo, o tempo de mastigação. É importante que o paciente respeite a dieta mastigatória, porque se faz força nesse implante antes do período adequado, esse implante pode falhar. Mas não por causa do material.
⑦ Qualquer pessoa pode fazer implante?
A maioria das pessoas pode sim fazer implantes. Qualquer pessoa em condições saudáveis, pessoas com diabetes controlada, pessoas com hipertensão controlada, adolescentes que não estiverem mais com crescimento ósseo e pacientes idosos podem fazer implantes. No geral, mais de 90% das pessoas podem fazer implantes.
A Ortoestética Boa Viagem Sul oferece uma variedade de especialidades e procedimentos que visam aprimorar você, promover seu bem-estar e elevar sua autoestima. Nossas especialidades abrangem um amplo leque de tratamentos estéticos personalizados para atender com excelência às necessidades de cada paciente.
Fazia tempo que procurava uma clínica e profissionais capacitados que pudessem realizar meu tratamento. Eu sempre tive receio de iniciar por meu caso ser um caso complexo e com várias etapas, então cheguei a ir em várias outras clínicas e não havia ainda sentido confiança em iniciar. Quando vim aqui na clínica, fiquei realmente impressionado com todo atendimento acolhedor e com a confiança que me passaram ao explicar todo meu tratamento com muito embasamento e detalhes. Logo, decidi iniciar meu tratamento com essa equipe que me passou tanta tranquilidade. Fiquei muito satisfeito com o acompanhamento do meu tratamento e com o resultado. Esse tratamento com certeza mudou minha vida e minha autoestima.
Sérgio Lima, 56 anos
Eu só tenho a agradecer à equipe pelo excelente atendimento e trabalho realizado. O meu caso foi de retrabalho. Já havia feito um tratamento com outra clínica e infelizmente não estava satisfeita com o resultado. Mas, felizmente encontrei aqui profissionais que me repassaram bastante tranquilidade para resolver o meu problema, fazendo todo um novo planejamento para o meu caso e me acompanhando durante todo o processo. Sempre com bastante acolhimento e profissionalismo. Eu tinha uma prótese removível e optei por fazer um protocolo com implantes fixos. Fiquei super feliz com o tratamento e resultado. Minha autoestima foi devolvida, assim como a minha confiança. E com certeza me trouxe também uma melhora na qualidade de vida ao poder voltar a sorrir e comer coisas que antes não podia comer, sentindo melhor o sabor dos alimentos. Super indico.
Luciana Souza, 45 anos
Fiquei muito satisfeito com o atendimento super humanizado e com o resultado do meu tratamento. Eu tinha alguns dentes ausentes, então optei por realizar os implantes unitários. Primeiramente, senti muita confiança na explicação dos doutoures que me atenderam, além do acolhimento da equipe, que me fizeram me sentir em casa. Conseguiram devolver além da minha autoestima, a segurança em mastigar sem preocupações no dia a dia. E o resultado ficou exatamente como eu queria, harmônico e natural, como sempre sonhei.
Antônio Reis, 63 anos